セラミック
治療
セラミック治療とは、歯の機能や見た目を改善するための治療法。
当院のセラミック治療について
当院では、金属を一切使わずセラミック(陶材)のみで作られた「オールセラミック」を主に使用しております。
セラミック治療の
5つのメリット
身体に優しい(生体親和性)
セラミックは、生体に触れても炎症反応を起こさない「生体親和性」に非常に優れた素材です。 保険治療で使用される金属の被せ物は、身体が「異物」と認識し、歯肉に微細な炎症を引き起こす可能性があります。セラミックはその心配がありません。
汚れ(プラーク)が付きにくく、衛生的
セラミックの表面は、天然の歯以上に滑沢(ツルツル)です。 そのため、歯垢(プラーク)などの汚れが付きにくく、付着したとしても軽いブラッシングで綺麗に落とすことができます。 (保険適用の白い歯「CADCAM冠」は、セラミックに比べて表面が粗造なため、汚れが残りやすいという違いがあります )
審美性が良い
オールセラミック治療は金属を使用しないため、透過性(光を通す性質)がよいです。そのため天然の歯に近くなります。当院では「綺麗」というより他の歯と比べた時に「自然」に見えるように作ることを意識しております。
虫歯の再発リスクが低い
セラミックは、歯と非常に高い接着力で結合させることができます。 これにより、被せ物や詰め物の隙間から細菌が侵入して起こる「二次虫歯」の可能性を低くすることができます。
長期的な噛み合わせの維持
症例②の概要にもあるように、セラミックは保険適用のCADCAM冠と比べて摩耗しにくい(すり減りにくい)特性があります。 長期間にわたって安定した噛み合わせを維持するためにも、セラミックは非常に良い材料と言えます。
ご留意いただきたい点
(デメリット)
破折・脱落のリスク
過度な食いしばりや、噛み合わせの力が強く集中する部分に使用すると、セラミック自体が割れたり(破折)、取れたり(脱落)するリスクがあります。
これらのリスクは、就寝時に「ナイトガード」を装着したり、噛み合わせを精密に調整したりすることで、減らすことが可能です。
症例紹介
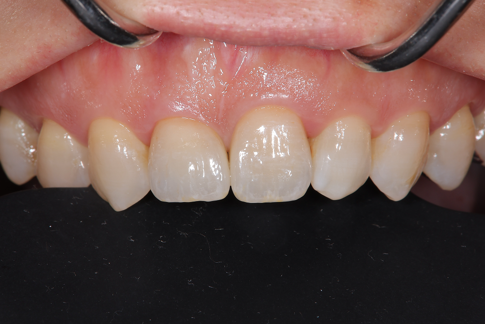
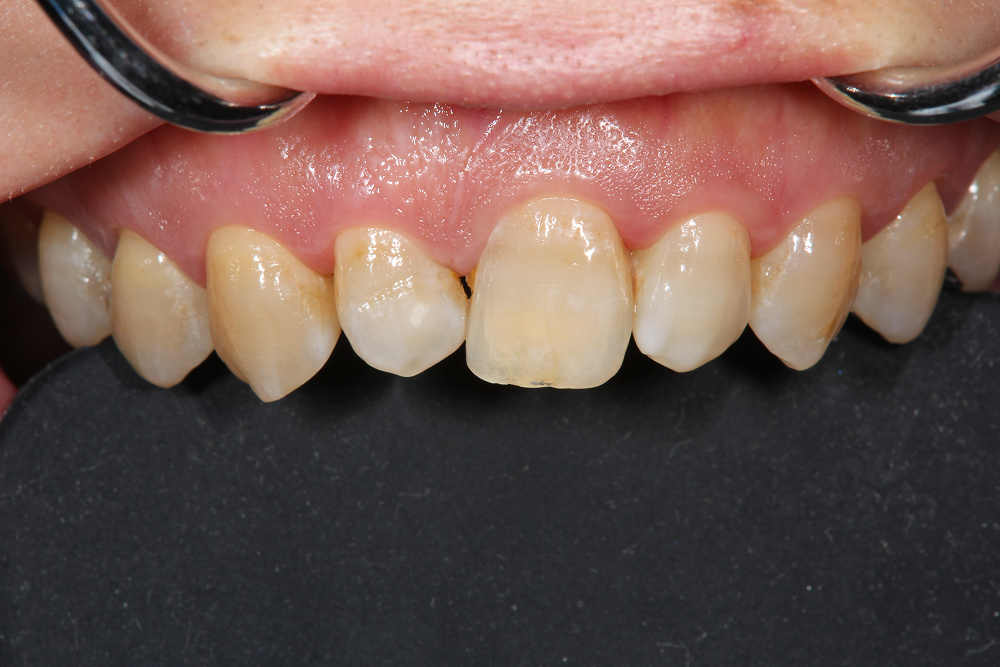
セラミックを用い、左右差を改善したケース
治療概要:右上(写真では左)の前歯が1本少なく、左右で大きさが非常に差がありました。
治療前
治療後
行った治療
右上の小さな歯を形を変えるために、セラミックにより修復しました。
また、真ん中のラインが斜めだと見る人は違和感を感じます。左上の真ん中の歯もまっすぐに生えて見えるように同様にセラミックにより修復しています。
矯正治療という選択肢もありましたが、顎のずれの問題や他の歯の状態を考慮し、今回は2本のみセラミックで治療する事で同意されました。
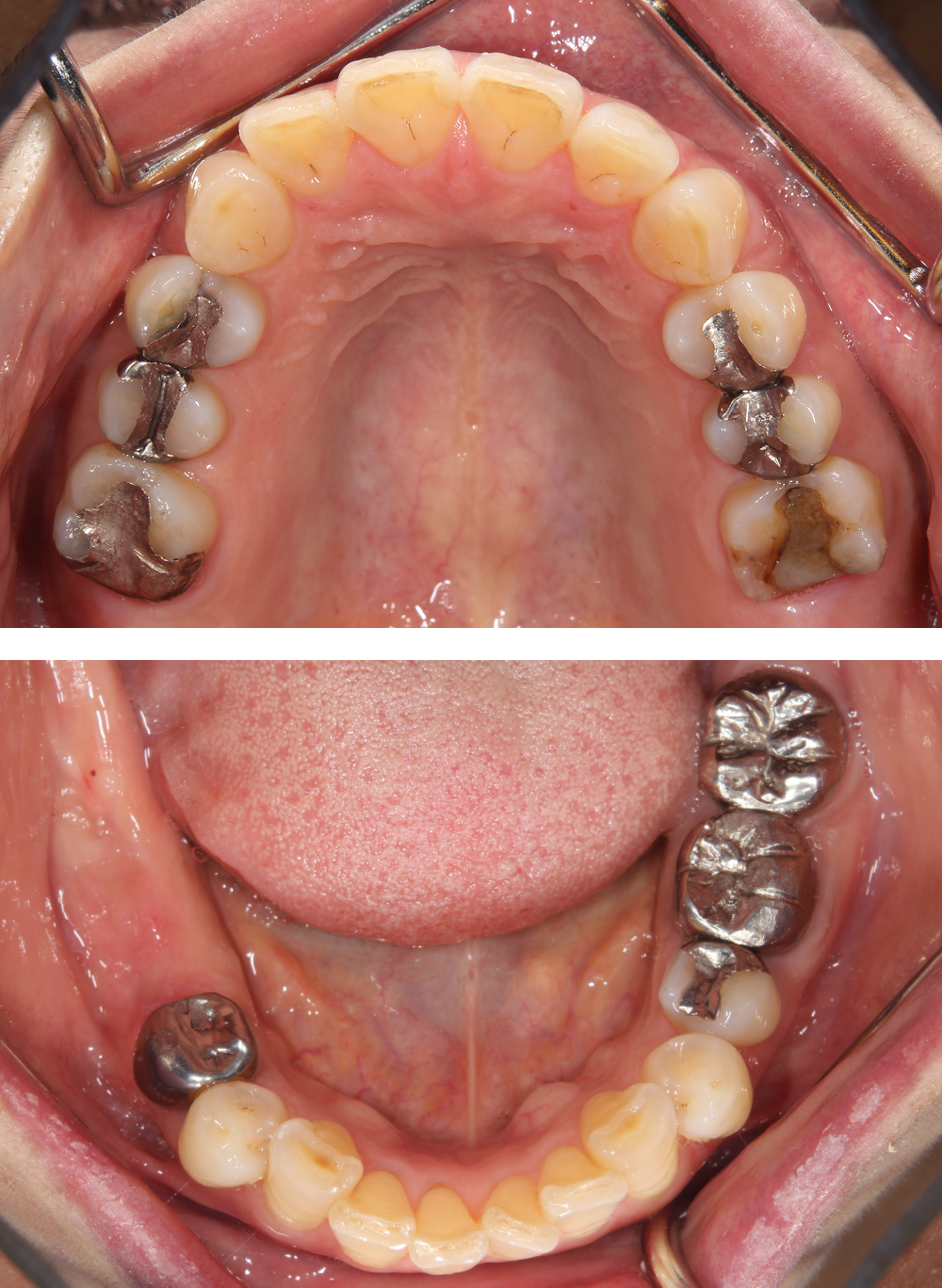
上下の銀歯をセラミックに変更した症例
上顎の治療前
上顎の治療後
行った治療
上の歯は奥歯を3本、セラミックの詰め物、下の歯はセラミックの被せ物と詰め物で修復しています。
右下の奥歯にはインプラント治療で歯を増やしております。セラミックはCADCAMと比べ摩耗がないため、長期的な噛み合わせの維持のためにも良い材料になります。
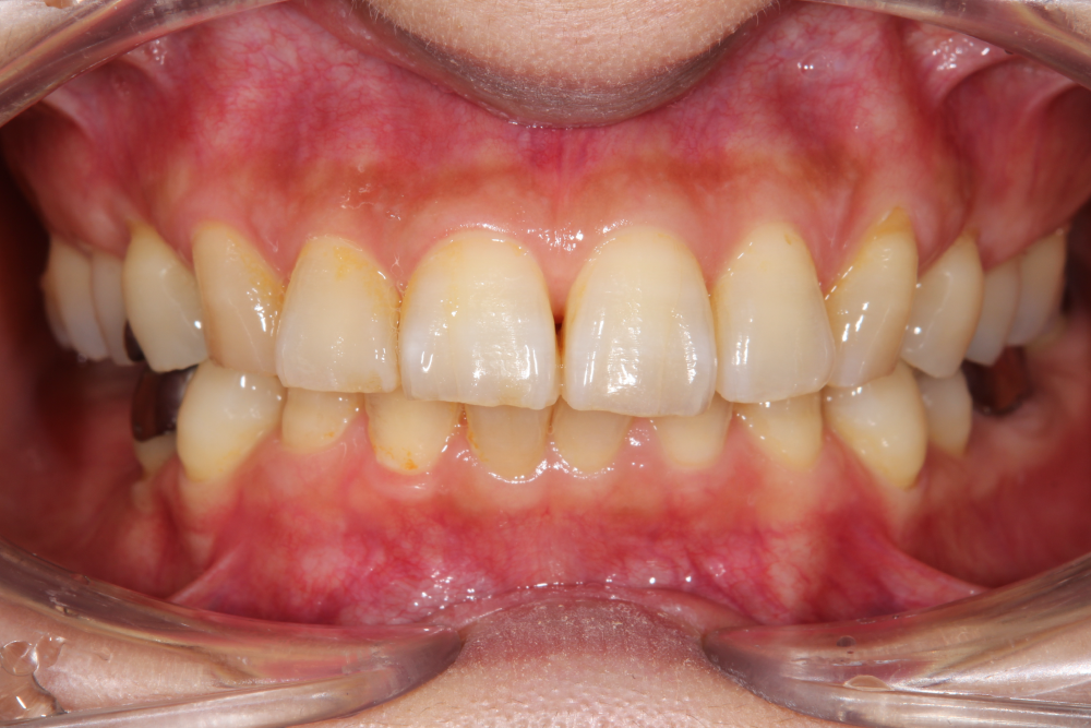
見た目の改善
正面から見た時に見えていた奥歯の銀歯が自分の歯の色に合わせた事で見た目の審美性もアップしました。
治療前
治療後
個性的な歯の色の患者様に対し治療を行なった症例
セラミックに色をつける(ステインタイプ)事で個性的な色の患者様にも違和感のない歯を作ることができます。
当院でお願いしている技工士さんは非常に色もこだわる職人気質の方で、とても頼りになります。
治療前
治療後
セラミックの費用
(税込価格)
- 浅い虫歯の詰め物
(インレー) - 44,000円
- 深い虫歯の詰め物
(クラウン) - ・レイアリング
- 110,000円
- ・ステイン
- 88,000円
- ・エコノミー(奥歯のみ)
- 55,000円
※症例によって適用できない場合がございます。
※上記の金額の他に、健康保険の負担金が必要となります。
※自費治療のお支払いは現金、クレジットカード、デンタルローンが可能です。
セラミック治療のリスクや副作用について
治療期間:約1ヶ月~3ヶ月
リスクや副作用:
・セラミックの詰め物や被せ物には一定の厚みが必要なため、装着するためには健康な歯であっても削る必要があります。
・歯を削ることにより、神経に刺激が伝わりやすくなり、治療後に一時的(あるいは持続的)に冷たいものや熱いものがしみることがあります。
・削る量が多かったり、神経に近かったりした場合、歯の神経(歯髄)が炎症を起こし、強い痛みが出ることがあります。
・セラミックは陶器(お茶碗など)と同じ材料でできているため、天然歯や金属に比べて割れたり欠けたりしやすいという性質があります。
・セラミックは、天然歯よりも非常に硬い場合があるため、噛み合う相手の歯が天然歯の場合、過度に摩耗させてしまう可能性があります。
・接着力が弱まったり、噛み合わせの力が強くかかりすぎたりすると、詰め物や被せ物が取れてしまうことがあります。
・セラミックは変色・着色がほとんど起こらないため、隣の天然歯が加齢や飲食物、ホワイトニングによって変色した場合、セラミックの色の差が目立ってくる可能性があります。

