全顎治療
見た目の美しさと快適な咀嚼機能を取り戻し、
その健康が永続する「長期的で安定した口腔環境」を創造する全顎治療。
全顎治療とは?
「歯が痛い」「歯が欠けた」「詰め物が取れた」 多くの場合、こうした具体的な症状(主訴といいます)がきっかけで歯科医院に来院されます。
これに対し、歯科の治療アプローチは大きく2つに分けられます。
局所的な治療
主訴となったその歯「1本」だけを治療して終了する方法です。
全顎的な治療
主訴の歯だけでなく、お口の中全ての歯を対象とする治療です。患者さまが異常を自覚していない歯も含め、お口全体を一つの単位として捉え、将来的なリスクまで考慮して治療を行うことを指します。
なぜ全顎治療を勧めるのか?
それは、「安定して噛める状態」をできるだけ長く維持することを当院が目指しているからです。
「噛める」状態を維持するには、噛む力を正しく受け止めるための「噛み合わせのバランス」が非常に重要です。
また、1本1本の歯は形が異なりますが、その一つひとつの形に大切な役割があります。
たとえ全体のバランスが崩れた状態でも、一時的に噛むことはできてしまいます。
しかし、そのアンバランスな状態のまま、問題が起きた1本の歯だけを丁寧に治療しても、根本的な原因(バランスの崩れ)は解決していません。
そのため、残念ながら長期的な安定は望めず、いずれ別の場所が壊れてしまう可能性が高いのです。
だからこそ当院では、治療を始める前にまず徹底した診査・診断を行います。 「そもそもお口全体のバランスが崩れていないか?」「患者さまが自覚していないが、将来問題を起こしそうな歯はないか?」 これらを最初に確認することが、治療の最も重要なスタートラインだと考えています。
「生理的咬合」と
「病的咬合」とは?
全顎治療といっても、全ての方の、全ての歯を削ったり詰めたりするわけではありません。
当院では、まず診査・診断の段階で、患者さまの現在の噛み合わせが「生理的咬合」と「病的咬合」のどちらの状態にあるかを正確に判断します。
生理的咬合
状態
患者さまの歯や歯茎、顎が、ご自身の噛む力と調和が取れている「健康的なバランス」の状態です。
治療方針
噛み合わせの位置をあえて修正する必要はありません。個々の問題(むし歯など)を治療するだけで、治療後も安定しやすい状態です。
病的咬合
状態
噛み合わせそのものが原因となり、このまま放置すると、将来的に歯が失われたり、治療した詰め物や被せ物が次々と壊れたりする可能性が高い「不安定なバランス」の状態です。
治療方針
根本的な原因である噛み合わせの位置の修正(矯正治療など)を行わなければ、他の歯を治療しても長期的な安定は望めません。
デジタル技術を用いた
安全で精密な治療
当院では、お口の中の情報を3Dデータとして取り込み、コンピューター上で精密なシミュレーションを行います。
これにより事前にリスクを回避し、無理のない計画を立てられることで安全性が向上しております。
症例紹介
生理的咬合と判断し全顎治療を行ったケース
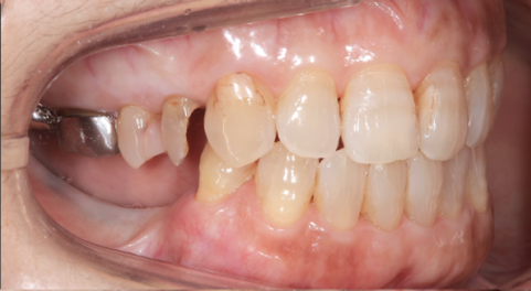
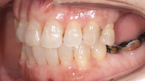
主訴:左下の歯が外れた。
治療概要:左下の歯が外れたことがきっかけで来院されました。右下と左上には歯がない状態でした。
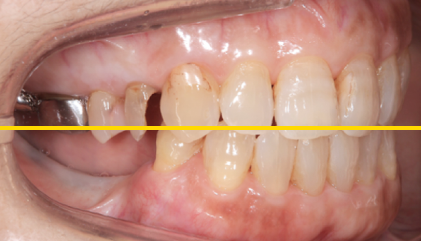
治療前
治療後
生理的咬合と判断に至った背景
外れた左下の歯ですが、歯茎から出ている歯の部分が明らかに短く、この状態で被せ直しをしても維持力がないためすぐに外れてしまう事が予想されました。
また、奥歯がないためこの歯には噛む時の力が過剰にかかってしまいます。
この方の場合右の歯も少なく、主訴である左下の歯だけ治療をしたとしても今残っている歯も含めてどんどん悪くなることが予想されました。
このような理由で口腔全体を含めた「全顎の治療」計画を提案させていただきました。
現状残っている歯の状態から、この患者さまは「生理的咬合」であると診断し、現状噛んでいる歯の位置の修正とは行わずに、歯がないところ、歯が欠けているところを治すだけで安定すると考え治療を行っています。
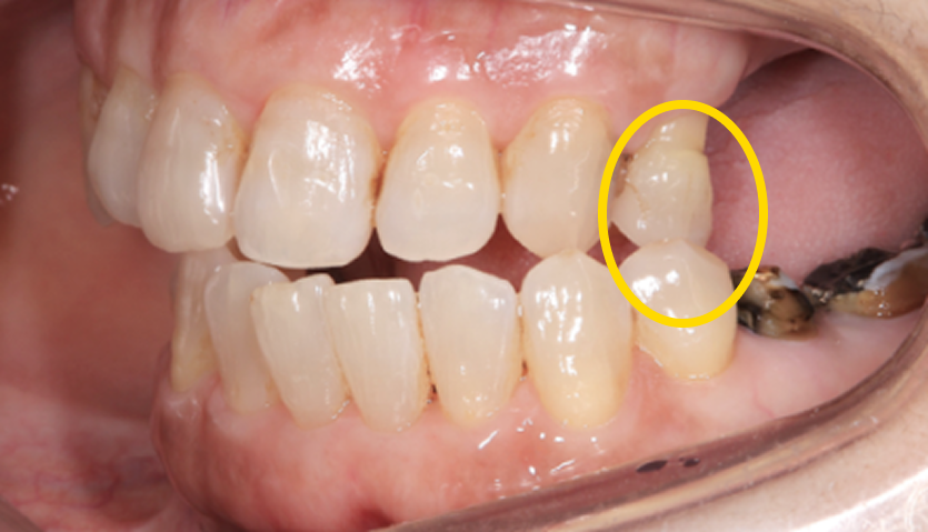
行った治療
この歯(黄色の印)は顎を横に動かした時に強い力が加わり、歯の周囲の組織にダメージが出ているため、力をコントロールするために歯の形を修正が必要です。
右の奥歯についても歯が伸びてしまっているのでこちらは部分的な矯正治療と歯茎の手術で対応しています。
期間:2年
費用:280万円
まとめ
デジタルシミュレーションを駆使したことで、術前の「生理的咬合である」という診断に基づいた精密な治療計画の立案が可能となりました。
治療期間はかかりましたが、計画通りに全顎の機能回復を達成し、「安心して噛める」状態を取り戻すことができました。
治療は完了しましたが、この状態を長く維持するため、今後はメンテナンスでの噛み合わせのチェックが非常に重要となります。
病的咬合と判断し全顎治療を行ったケース
主訴:入れ歯が壊れた。
治療概要:下の入れ歯が壊れたということで来院されました。
よく見ると入れ歯のバネにはゴールドが使用され、上の入れ歯の保険適用外の金属床という入れ歯を使用されておりました。
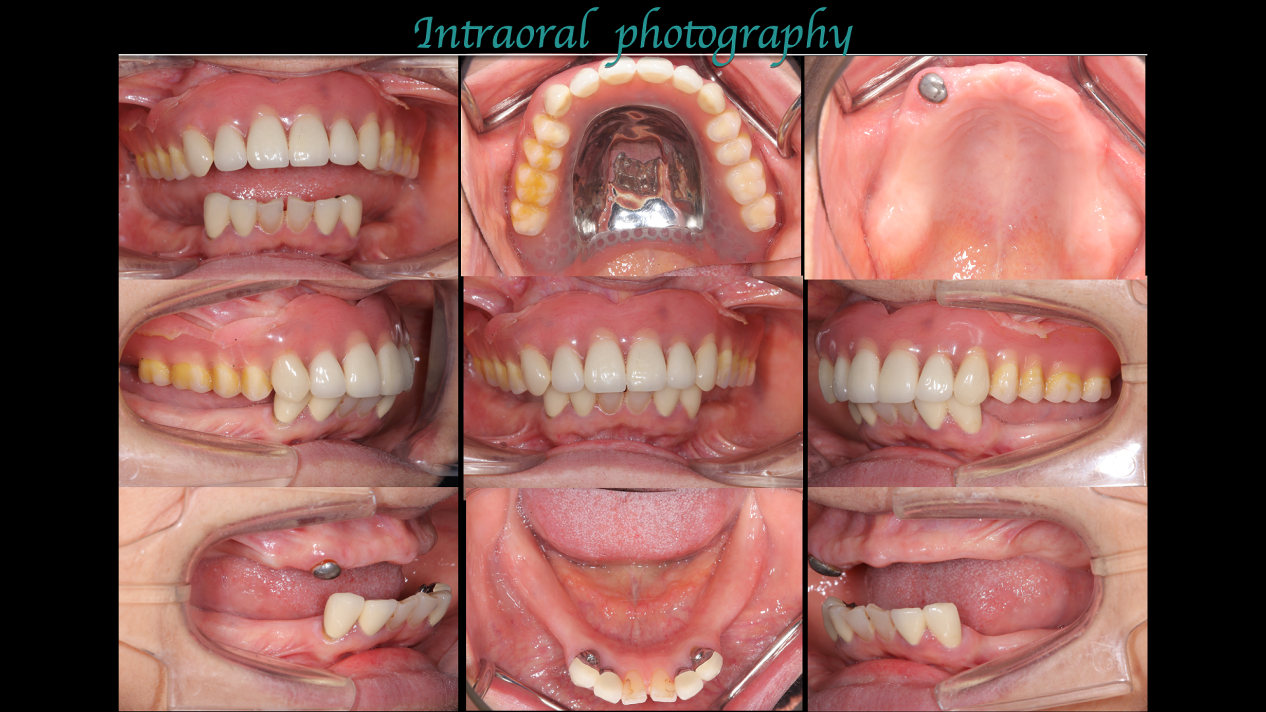
治療前
治療後
病的咬合と判断に至った背景
もちろんこのまま入れ歯を作り直すこともできるのですが、入れ歯が壊れた原因を解決しない限りまた割れてしまいます。
診査していくと、入れ歯の強度の問題ではなく、この方の噛み合わせに問題がある、「病的咬合」であると診断しました。
話を聞くと、この患者さまの場合、40代くらいから入れ歯を使用されていたそうです。何故早期に歯がなくなってしまったのか、また、入れ歯の破折を繰り返すのか、この原因は今残っている、下の前歯の傾きにあると判断しました。
前歯の役割を「アンテリアガイダンス」と呼びます。この「アンテリアガイダンス」が不適切だと、奥歯の負担が大きくなります。この患者さまの場合その負担に奥歯の周囲組織が耐えきれず、早期に抜歯に至ったようです。また、奥歯がなくなると上の前歯は下の前歯に突き上げられ、強い力が加わり揺れたり、割れたりします。 このような理由で口腔全体を含めた「全顎の治療」計画を提案させていただきました。
行った治療
最後は下の前歯だけが残る、この状態の患者さまはよく見かけます。この患者さまの場合、歯がなくなった原因が「不適切なアンテリアガイダンス」です、これを改善しない限り、入れ歯にしろ、インプラントで歯を作るにしろ、ご自身の歯が抜けてしまったように壊れてしまうのは当然です。
まず一番必要なのは、下の前歯の傾きを適正なものにし、「適切なアンテリアガイダンス」を作ることです。今回、下の前歯を全て残した状態で矯正治療により適切な位置に歯を動かすか検討しましたが、歯を支える骨の問題で矯正治療では対応できず、犬歯以外は抜歯し、ブリッジと言う橋渡しの歯にすることで適切な前歯の形を作る治療計画を立てました。
理想は歯も残して病的な位置を改善させたいのですが、今回は残念ながら無理でした。ただ、病的な位置をそのままにすることで安定した状態が作れません。歯より「安定して噛める状態」を優先するか、病的な位置の歯を残し、安定を求めずに治療を繰り返しながら過ごすのか、これは患者さまとの相談のうえ決定するようにしております。
今回は抜歯し「安定して噛める状態」を作ることで同意されたのでこのような治療を行なっております。下の歯は入れ歯より強固なインプラントを選択し、上は総義歯を使用し治療をいたしました。
総義歯の歯茎の色もこだわり、審美面からも満足していただけたかと思います。
期間:1年
費用:300万円
まとめ
本来はこのような状態になる前に(できれば永久歯が完成したら早めに)矯正治療をしておくのがベストだったと思います。患者さまの責任ではなく、歯科医師側の責任です。
現状の問題点と将来リスクをしっかり説明し、理解してもらうことは重要な仕事だと改めてこの患者さまの治療で感じました。
全顎治療のリスクや副作用について
リスクや副作用:
・治療計画が複雑であり、複数のステップを踏むため、全体の治療期間は数ヶ月から数年単位と長期にわたる場合があります。
・機能性や審美性を追求するため、保険適用外(自費診療)の材料や治療法(インプラント、精密な被せ物、矯正治療など)が含まれることが多く、治療費は高額になる傾向があります。
・噛み合わせの安定や将来のリスク回避のために、健康に見える歯を削ったり、抜歯したりする判断が必要になる場合があります。
・治療段階に応じて、仮歯の使用、矯正装置の装着、食事の制限などが生じることがあります。
・治療の過程で、お口の状態の変化や治癒の反応により、当初の計画を変更する必要が生じる場合があります。

