矯正治療
見た目の美しさを改善するだけではなく、悪い歯並びが引き起こす様々な影響と、健康を守るための矯正治療について解説します。
理想的な歯並びとは?
歯並びは歯科関係者ではなくても外見に大きな影響を与えることは認識されていると思います。
笑った時の歯の見え方ひとつで、人に与える印象は違いますし、ご自身の歯並びを気にして上手く笑えないという方もいらっしゃいます。
しかし理想的な歯並びはどういうものか、ここでは噛み合わせの面での理想をお伝えします。
- 上下の正中(真ん中が揃っている)
- オーバージェット、オーバーバイトが2、3mm
オーバージェットとは上の前歯先端と下の前歯先端の前後的な位置関係を表します。オーバーバイトとは上の歯と下の歯の重なる深さのことです。(ピンクの線がオーバージェット、緑の線がオーバーバイト) - 上下の歯が1歯対2歯で噛んでいる、全ての歯がしっかり当たっている
- 顎を横に動かした時に犬歯同士だけがあたり奥歯同士(特に大臼歯)は離れる
- 顎や口の周りの筋肉に痛みや違和感がない
- 歯自体に異常な摩耗(削れ)がない
このような歯並びの場合、噛み合わせによるトラブルはなく長期な安定が保てます。
もちろん前歯も奥歯も全ての歯が上下きちんと当たってないと(噛んでいないと)いけません。
不正咬合の種類
・叢生(凸凹の歯並び)
・上顎前突(出っ歯)
・下顎前突(受け口、反対咬合)
・開咬(前歯が当たっていない)
・過蓋咬合
・その他(真ん中のずれや、部分的な反対咬合など)
悪い歯並びによる影響
虫歯リスクの上昇
歯が重なり合っている箇所は磨きにくく、自浄作用も下がるため虫歯のリスクが高くなります。
歯周病リスク、歯周病重症化リスクの上昇
虫歯同様磨きにくい場所は細菌により歯周病のリスクが上がり、また過度に負担がかかる歯は歯周病に罹患した際に骨が部分的に急速に溶けてしまい重症化もしやすくなります。重症化した歯周病は歯周病治療のために歯並びの改善が必要なケースもあります。
審美障害
見た目を気にし思い切り笑えないという方もいらっしゃいます。個性として受け入れられれば大丈夫なのですが、悩まれている方はご相談ください。
顎関節症
特に開咬や過蓋咬合の方は顎関節症のリスクが高くなります。
咀嚼効率低下による内臓機能への負荷
しっかり噛めていないと無自覚で丸呑みのような状態になっていることもあります。その場合消化器系の内臓に負担が大きくかかってしまいます。咀嚼能力を測る検査もございます。
いびき、睡眠時無呼吸症候群
本来、舌は上顎に接していることが理想ですが、歯並びの影響でそこに舌が収まりきらない場合、舌は喉の奥に追いやられてしまいます。すると気道(空気の通り道)が狭くなってしまい、いびきや睡眠時無呼吸症候群を引き起こす可能性が高まります。
矯正治療のススメ
歯が悪くなってしまった患者様、特に多くの歯が抜く必要があるほど重症化した方の多くは全体的にしろ部分的にしろ歯並びに問題があることを実感しています。
治療計画には全体の矯正、もしくは部分的な矯正治療を含めて提案することが多いです。そうしないと歯を新しく作っても安定しないからです。
「全顎治療」のページの症例②の方も元々は上下顎前突という不正咬合の方です。
入れ歯と下の歯の抜歯で矯正をした後の歯並びを作りましたが、本来は歯が多く残っているうちに矯正治療を行なっていればかなりの本数を残すことができたのではないかと考えています。
そのような患者様は多くいらっしゃいます。もちろん歯並びが悪くても高齢になっても歯が多く残っていらっしゃる方も存在します。その方達は「結果的に矯正しなくてもよかったですね。」で済むのですが、歯並びの影響で口の中がボロボロになった方に「やっぱり若いうちに矯正しなかったからこうなってしまいましたね。」とは言えません。
ですから、当院では、不正咬合のある10代20代の方、不正咬合になりそうな子には積極的に矯正治療を提案します。歯磨きやフッ素塗布と同様、矯正治療も予防処置のひとつと考えているからです。
症例紹介
子供の歯の矯正
主訴:下の前歯が内側から生えてきた。
治療概要:黄色の丸の部分、まだ乳歯が抜けずに永久歯が内側から生えてきています。このままではこの乳歯は自然と抜ける可能性は低いので、まず、乳歯の抜歯を行いました。
治療前の状態
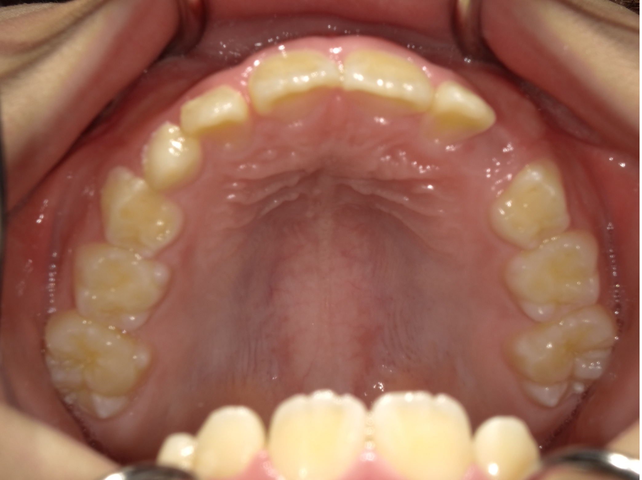
下の前歯も左右とも内側に生えている歯が並ぶスペースがなく、このままでは凸凹の状態が残ります。
また、横顔を見ても上唇が突出し、上顎前突(いわゆる出っ歯)の状態です。上の歯が下の歯を全て覆い前から見ても下の歯が見えません。
このままでは、将来的に奥歯の負担が大きくなり、歯を失う原因になる可能性があります。叢生(凸凹)の改善と、上顎前突の改善を目的に1期矯正を開始しました。
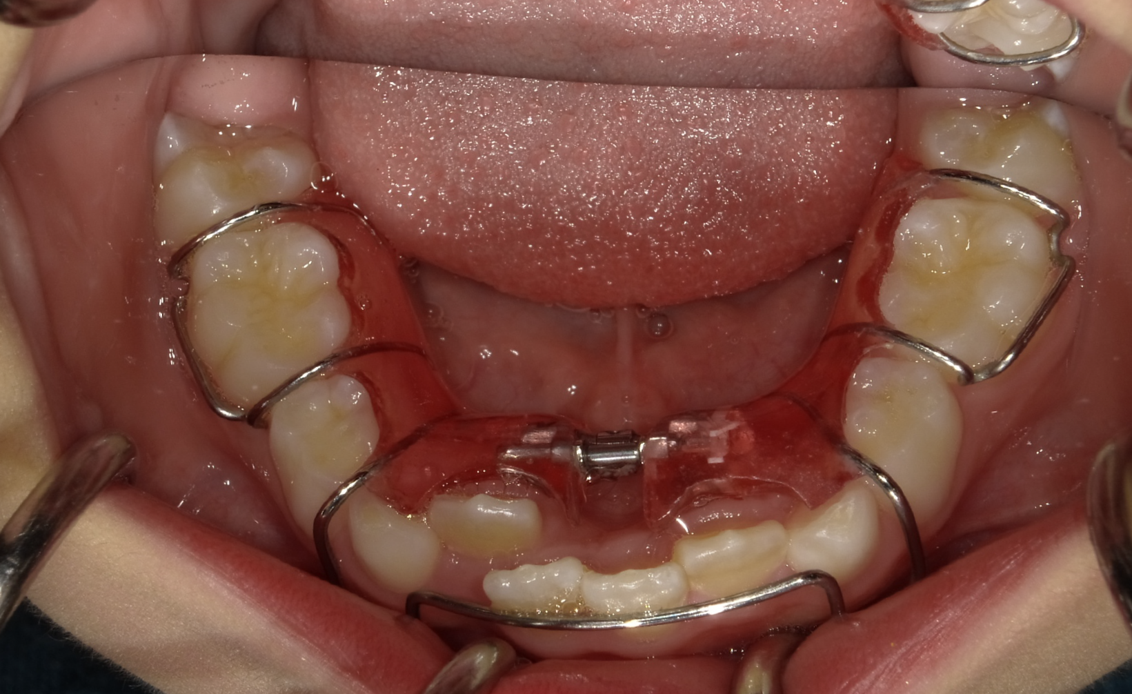
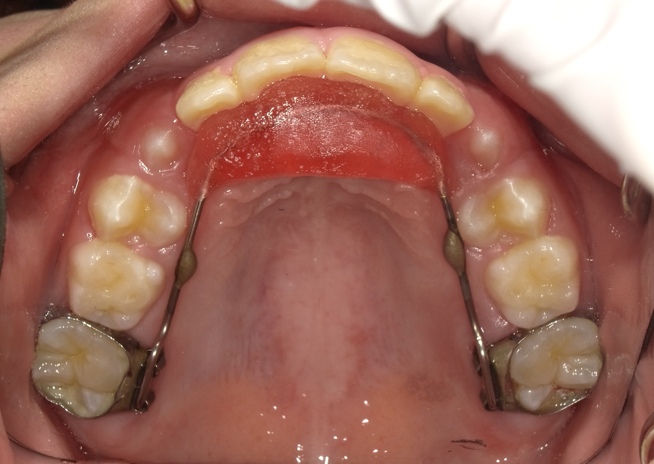
1期矯正
まずは拡大床という装置を使い、凸凹の改善を目指します。
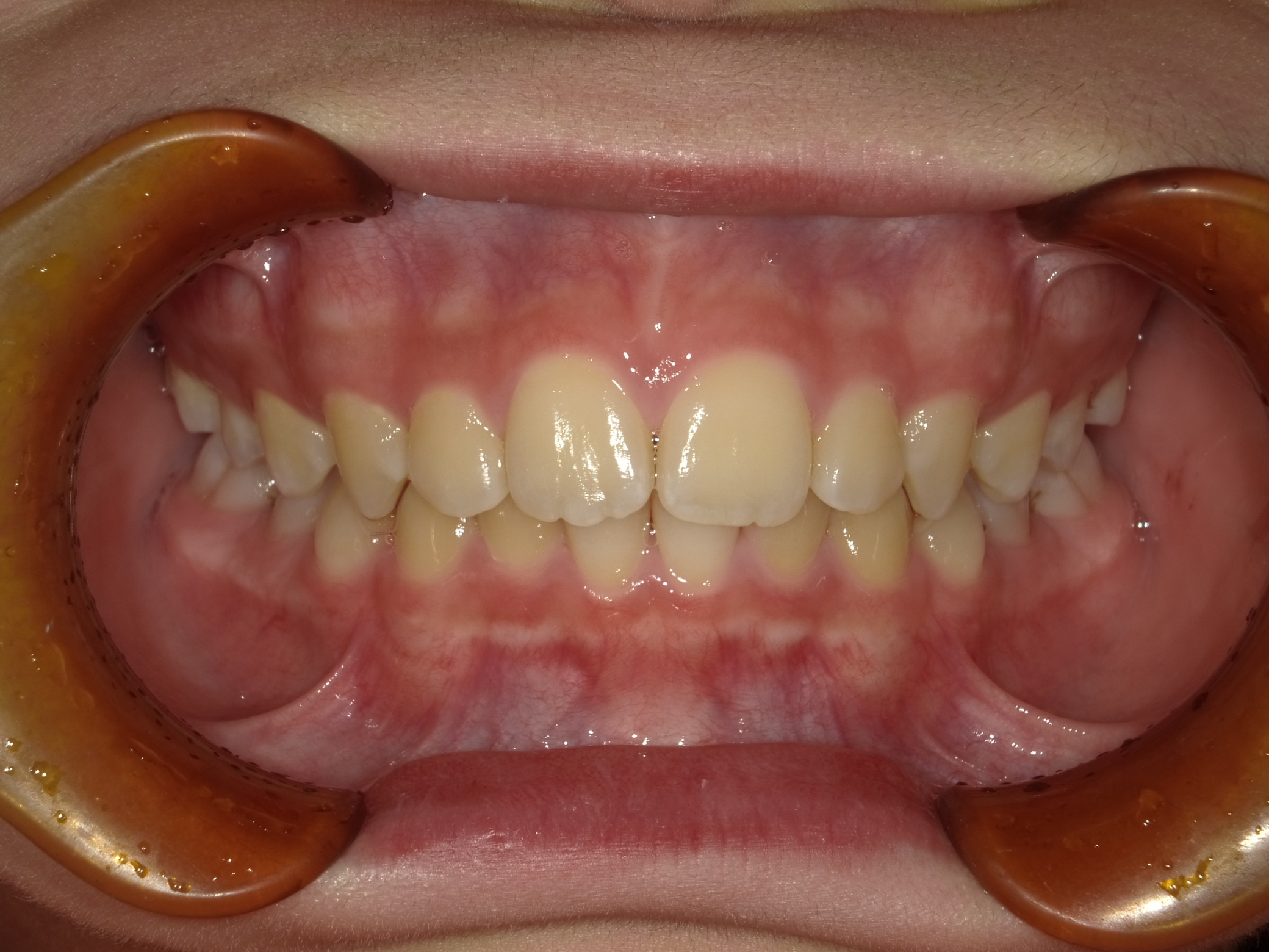
1期矯正の経過
時間はかかりますが、だいぶ凸凹が改善してきました。しかしまだ正面か見ると下の歯が見えません。
今回は上の歯が出過ぎているというより、下の顎は引っ込みすぎていると診断し、下顎を前に誘導する装置を使用します。
装置使用前後の比較
前歯に若干の凸凹はありますが、あとは2期治療で簡単に改善可能です。
治療前
治療後
1期治療はそれだけで理想的な歯並びに改善できる治療ではありません。
2期治療まで含めた治療と考えていただければと思います。
大人の歯の矯正
治療前の状態
主訴:前歯の歯並びが気になる
治療概要:矢印の歯は反対咬合(上の歯より下の歯の方が前に出ている)になっています。また、この方も過蓋咬合で下の前歯がほとんど見えません。
奥歯の噛み合わせはほとんど問題なく、マウスピース矯正を提案し矯正スタートしました。マウスピース矯正は食事中は外せたり、歯磨きもしっかりできるので良い治療法ですが、2番目の歯などあまり凹凸の少ない歯は動きが悪いことがあります。
行った治療
ほぼ他の歯が並んだ状態でも、やはりこの矢印の歯だけ動きが悪かったのと、左下の捻れた歯がなかなか治らなかったので、ワイヤーを部分的に使用させてもらいました。
下の写真が術前術後の比較です。下の前歯が見えるようになりました。上の前歯の傾きが変わるだけで口元の印象も変化します。
治療後の比較
治療前
治療後
矯正治療費
(税込価格)
- 1期矯正(小児矯正)
- ・相談料
- 3,300円
- ・矯正前検査料
(内11,000円は他院にてレントゲン撮影分) - 55,000円
- ・装置料
(上下どちらかだけなら半額) - 275,000円
- ・調整、観察料
(月1回の調整と観察) - 3,300円
- 2期矯正(成人矯正)
- ・相談料
- 4,400円
- ・矯正前検査料
(内11,000円は他院にてレントゲン撮影分) - 55,000円
- ・装置料
(症例により異なる。装置料に+55,000円で白いタイプへ変更可) - 450,000円
- ・調整、観察料
(月1回の調整と観察) - 5,500円
- ・リテーナー
- 55,000円
- マウスピース矯正
- ・検査料
(内11,000円は他院にてレントゲン撮影分) - 55,000円
- ・印象採取料(型取り)
- 無料
- ・シミュレーション料
- 無料
- ・装置料
簡単な症例:叢生が少ない・1本の反対咬合など - 400,000円
- ・装置料
複雑な症例:叢生が多い・抜歯ケースなど - 600,000円
※矯正日は金曜日と土曜日(第4週目)
※1期治療後の2期治療への移行は装置料は22万円、検査料なし。
矯正治療のリスクや副作用について
治療期間:約2年~3年
リスクや副作用:
・器具を装着した時や、調整を行った後の数日間、歯が浮いたような痛みや、噛んだ時の痛み、圧迫感が出ることがあります。
・装置の周りは複雑な構造になり、歯ブラシが届きにくくなるため、磨き残しが溜まりやすくなります。
・ブラケットやワイヤーの先端が、頬の内側や唇、舌などの粘膜に当たって擦れ、口内炎ができることがあります。
・装置に慣れるまで、一時的に食事がしにくかったり、特定の音(サ行など)が発音しにくくなったりすることがあります。
・硬い食べ物や粘着性の高い食べ物によって、ブラケットが外れたり、ワイヤーが変形・破損したりすることがあります。
・歯を動かす過程で、歯の根の先端がわずかに溶けて短くなる現象(歯根吸収)が起こる可能性があります。
・歯を動かすことで、歯茎が下がって歯の根元が露出することがあります。

